技术服务

组织病理 案例展示 分子病理 数字病理 早期非GLP毒理/TK 检测试剂盒

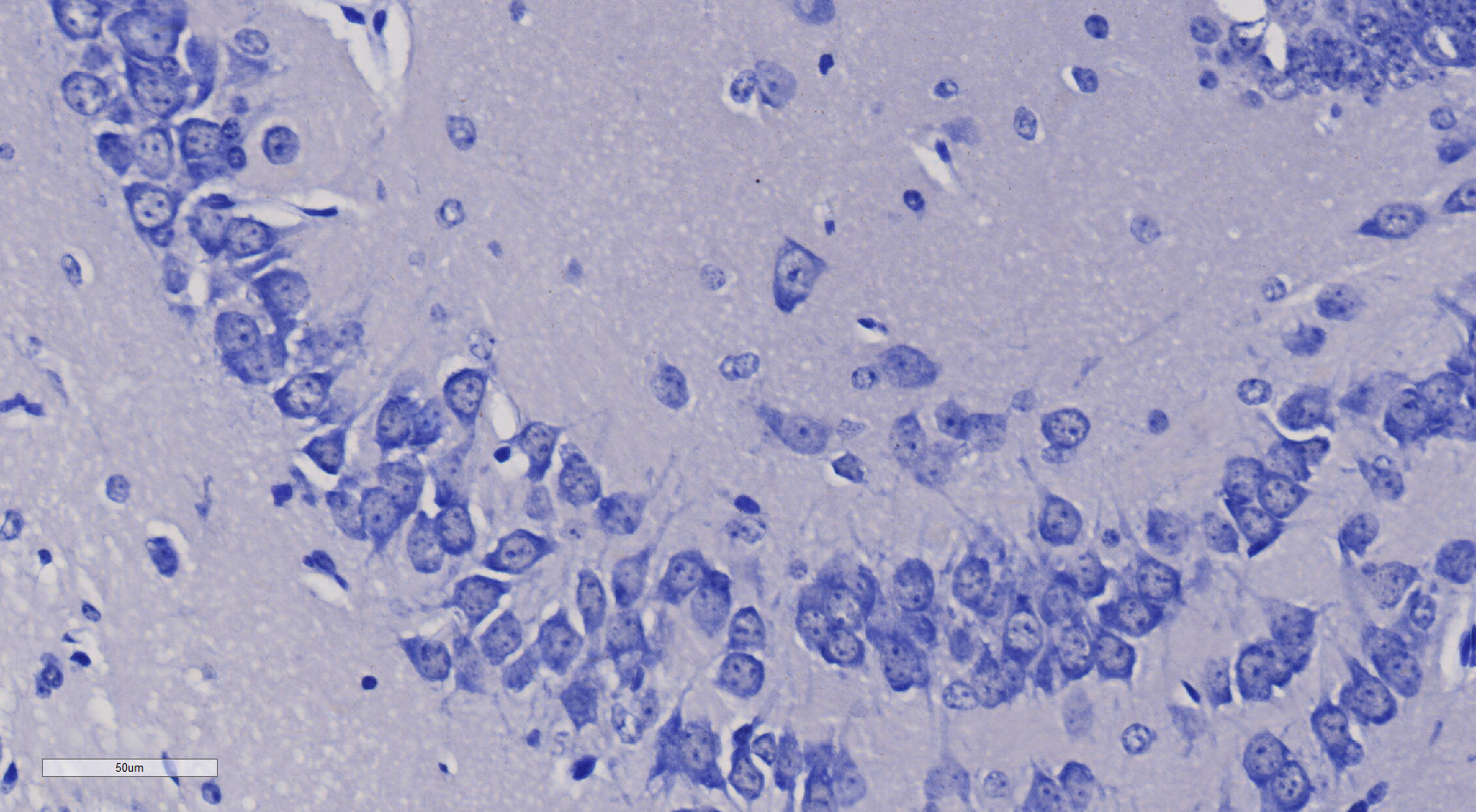
尼氏染色

发布日期:2024-10-08 18:00 浏览次数:253

                              

                     

                        


                        

  小鼠脑部整体尼氏染色 海马结构 尼氏小体


X 企业官网

截屏,微信识别二维码

微信号:1234

(点击微信号复制,添加好友)

  打开微信

微信号已复制,请打开微信添加咨询详情!