网站首页
关于我们
技术服务
学术分享
加入我们
联系我们
技术服务
组织病理
案例展示
分子病理
数字病理
早期非GLP毒理/TK
检测试剂盒
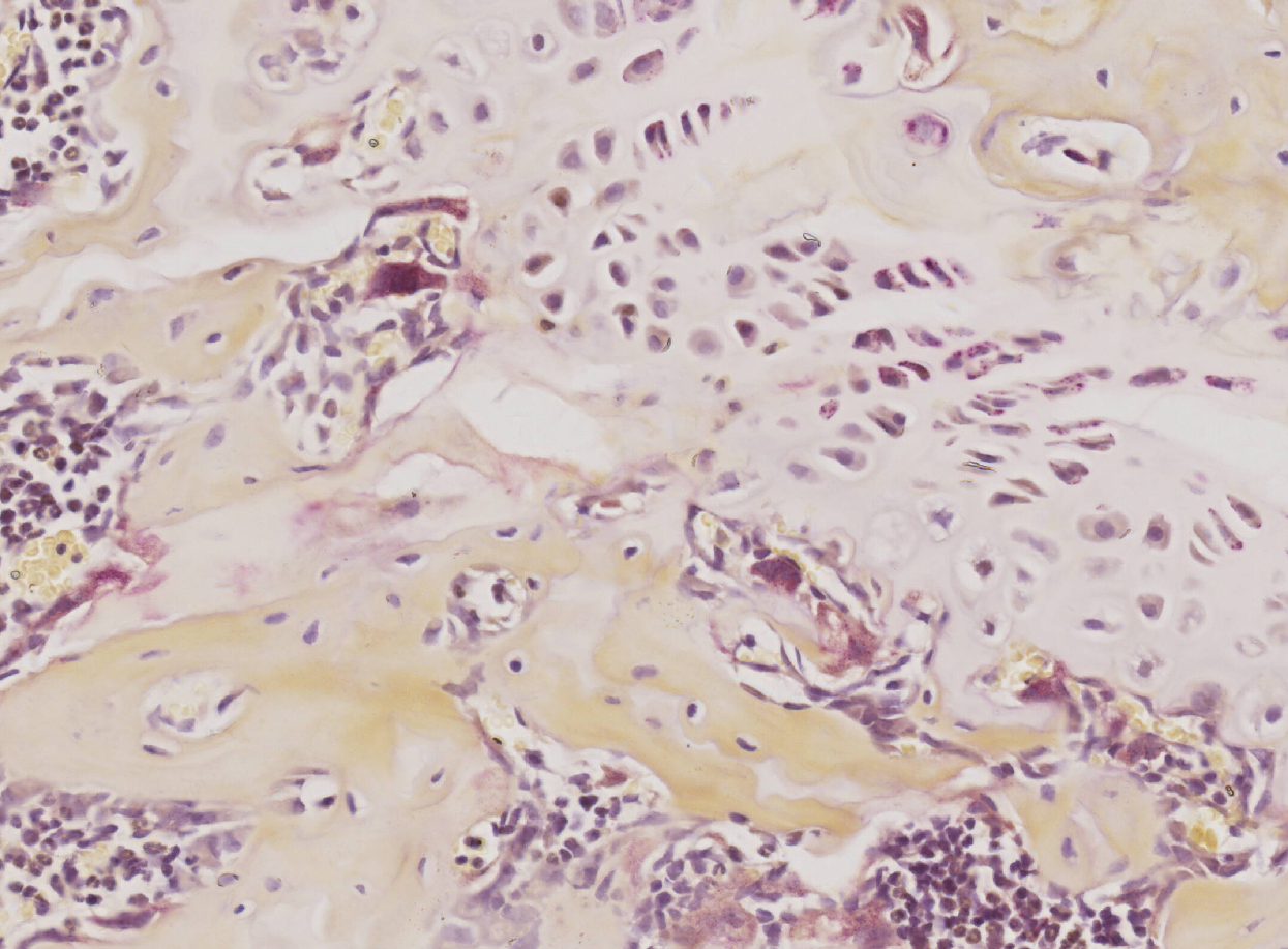
TRAP染色
发布日期:2024-10-10 11:33 浏览次数:
27
骨关节 TRAP染色(示 破骨细胞)
上一篇:
Masson染色
下一篇:
免疫组织化学(手工)
首页
电话
微信
联系
X
截屏,微信识别二维码
微信号:
1234
(点击微信号复制,添加好友)
打开微信
微信号已复制,请打开微信添加咨询详情!