技术服务

组织病理 案例展示 分子病理 数字病理 早期非GLP毒理/TK 检测试剂盒

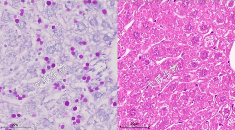
D-PAS染色

发布日期:2024-12-05 18:23 浏览次数:21

肝脏标本:糖蛋白多聚体滞留在肝细胞内质网中(左 D-PAS,右HE)

X 企业官网

截屏,微信识别二维码

微信号:1234

(点击微信号复制,添加好友)

  打开微信

微信号已复制,请打开微信添加咨询详情!